
而这一切改变的起源,来自于祁奕参加的一场“调香师”技能培训。
弦歌不辍贺新岁,美育芳华绽申城。1月26日,上海交响乐团音乐厅乐声飞扬、暖意融融,2026上海学生新年音乐会在此奏响马年序曲。音乐会由上海市教卫工作党委、市教委主办,市政府领导、相关委办局负责人、教育功臣代表与千余名师生齐聚,在民乐激昂、合唱婉转、交响恢宏的旋律中,共赴一场浸润心灵的青春美育盛宴。
近日,同济大学附属上海市第四人民医院成功开展首例移植肾穿刺活检术,为一名肾移植术后出现大量蛋白尿的患者精准锁定病因,这标志着该院在肾移植术后精细化诊疗领域实现新突破,能为肾病患者提供更具针对性的医疗保障。
据了解,4年前,46岁的俞先生因慢性肾衰竭接受了肾移植手术,术后恢复顺利并长期规律服用抗排异药物。但移植半年后,他逐步出现蛋白尿,近期血肌酐指标还持续升高,移植肾的功能面临恶化风险。医生虽多次调整抗排异用药,可俞先生的尿蛋白指标依旧居高不下。
上海四院肾内科主任陈舜杰教授介绍,俞先生病情难以判断的主要原因,是因为其本身患有糖尿病、高血压等基础病,且最初引发肾衰竭的原因尚未明确,不排除合并原发性肾炎的可能;再加上肾移植术后本就存在排异反应风险,抗排异药物也可能影响肾功能和蛋白尿指标,甚至还要考虑供体肾脏是否存在潜在问题。多重因素叠加,仅靠常规检查根本无法精准找到病因,而移植肾穿刺活检,就成了明确诊断的唯一关键手段。
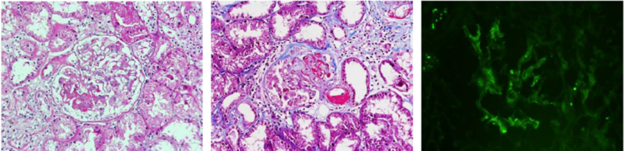
“在肾脏疾病的诊疗中,肾穿刺活检是公认的‘金标准’,凯狮优配该做的穿刺一定要做。”陈舜杰说,这项检查能直接获取肾脏组织样本,看清肾脏的实际病理变化,避免医生凭经验盲目用药,为后续精准治疗提供最核心的依据。俞先生的检查结果也印证了这一点——病理诊断为糖尿病肾病(IIb期),补充了临床初步判断的信息,让后续治疗方案的调整有了明确方向。
相较于普通的肾脏穿刺,移植肾穿刺的技术要求更高、操作更有讲究。移植肾没有神经支配,患者穿刺时的疼痛感会更轻,但操作中必须精准避开肾脏周围的血管和输尿管,同时还要严防术后出血、感染等并发症影响移植肾的功能。本次手术由该院肾内科高翔副教授与超声科忻俊医师配合完成,在超声的实时引导下,操作团队凭借精湛的技术快速获取了合格的肾脏组织样本,俞先生术后生命体征平稳,也没有出现明显的不适症状。

根据病理诊断结果,陈舜杰、高翔医学团队迅速为俞先生制定了个体化的治疗方案:在原有降蛋白尿药物的基础上,新增非甾体MRA与SGLT2抑制剂联合用药。其中,非甾体MRA能阻断肾脏的炎症和纤维化进程,SGLT2抑制剂可降低肾脏肾小球压力、减少尿蛋白,两种药物作用机制互补,实现“给肾脏减负+抗炎护肾”的双重效果。目前,俞先生的病情已经趋于稳定,正在逐步恢复中。

陈舜杰介绍,此次首例移植肾穿刺活检术的成功开展,不仅为俞先生的康复带来了希望,更全面提升了上海四院在肾移植术后管理、肾脏病理诊断等方面的综合诊疗能力。未来,该院将依托这项技术,为更多肾移植术后患者及复杂肾病患者提供更精准、更优质的医疗服务,为肾病患者的生命健康筑牢防线。
凯狮优配提示:文章来自网络,不代表本站观点。